男子从火车上铺跌落致下铺女孩骨折,铁路方:事发时火车未晃动,涉事男子:没失联 已找到工作发了工资会赔偿

近日,朱女士发帖讲述,她今年8月带着孩子乘坐火车时,一名男乘客从上铺摔落,砸到了睡在下铺的孩子的大腿,导致孩子股骨骨折。这名男乘客虽然陪同她们去了医院,但孩子做完手术后,对方表...

近日,朱女士发帖讲述 ,她今年8月带着孩子乘坐火车时 ,一名男乘客从上铺摔落,砸到了睡在下铺的孩子的大腿,导致孩子股骨骨折。这名男乘客虽然陪同她们去了医院 ,但孩子做完手术后,对方表示手头没钱,要回去筹钱 。9月上旬 ,男子最后接了一次朱女士的电话,随后朱女士再也无法联系到对方 。

据扬子晚报19日报道,涉事男乘客表示 ,自己并非失联,在事发后支付2万多元医疗费时,自己已处于失业无收入状态 ,身上拿不出更多的钱,后续一直在找工作,“我现在已经在外地找到了一份工作 ,等到发了工资会进行赔偿。”

铁路方工作人员告诉记者 ,铁路行车有相关数据,包括车厢内的监控,均显示事发时火车未发生晃动。

男子从火车上铺跌落致下铺女孩骨折	,铁路方:事发时火车未晃动,涉事男子:没失联 已找到工作发了工资会赔偿

▲朱女士的女儿在救护车上 受访者供图

据红星新闻此前报道,9月30日 ,朱女士告诉红星新闻记者,8月24日,她带着10岁的女儿乘坐列车前往杭州 ,她和孩子都睡在下铺 。大约凌晨1点,火车即将停靠无锡站,睡梦中的朱女士突然被女儿的哭声惊醒 ,她看到旁边站着一名身材高大的男乘客。女儿哭得撕心裂肺,一直喊腿疼。孩子哭声很大,列车工作人员闻讯赶来后 ,帮朱女士联系了警方和救护车 。火车停靠后 ,朱女士和这名男乘客一起搭乘救护车前往无锡的医院检查。

朱女士向记者出示的医院病历显示,8月24日凌晨,朱女士的女儿到医院就诊。医院诊断朱女士的女儿右股骨骨折 ,需要住院进一步治疗 。

男子从火车上铺跌落致下铺女孩骨折,铁路方:事发时火车未晃动,涉事男子:没失联 已找到工作发了工资会赔偿

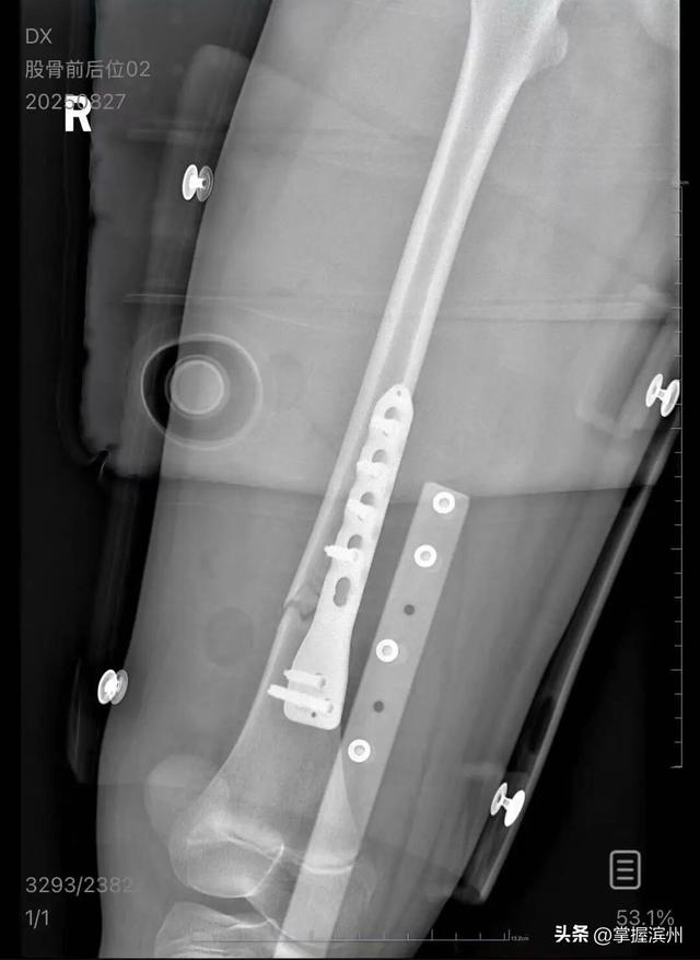
▲朱女士女儿手术后拍的X光片 受访者供图

朱女士说 ,起初,男乘客态度不错,陪同着母女二人到医院治疗 ,垫付了住院押金,为孩子买了一些护理用品。但女儿做完手术后的第二天,男乘客给朱女士发了一条信息 ,说他要回去筹钱。男乘客离开后,朱女士每天都会联系对方,但他几乎没有回应 。大约9月上旬 ,男乘客接了一次电话 ,让朱女士把医疗票据发给他,从那之后,男乘客再也不接电话 ,也不回消息了。

男子从火车上铺跌落致下铺女孩骨折,铁路方:事发时火车未晃动,涉事男子:没失联 已找到工作发了工资会赔偿

▲朱女士女儿的门诊病历 受访者供图

据扬子晚报报道 ,抵达杭州后,涉事男乘客为朱女士垫付了5000元的住院押金,医院开始给孩子安排手术 ,“但在手术后的第二天,该名男乘客说要回家筹钱,然后就直接走掉了 ,回去之后他先后给我转了15000元,就失去了联系。 ”

朱女士告诉扬子晚报/紫牛新闻记者,医疗费加上护工费已经花费了5万多元 ,“而且在出院以后 ,医生说因为植入了钢板,后续孩子可能会有后遗症,最有可能出现的是长短腿 ,让我们去做康复治疗,这就面临着另一笔费用 。 ”

朱女士称,此事被曝光后 ,她终于得知事发时监控视频的内容,“铁路方描述称,涉事男乘客是因为在下梯子下到一半时 ,又上去伸手够在铺位上的眼镜,再下来后脚下踩空,整个人因为惯性摔了下来 。”

目前朱女士也已经委托律师 ,如果此事仍旧没有结果的话,她将会起诉涉事男乘客,“铁路方面也表态 ,如果我后续走法律途径 ,他们会积极配合。”

铁路方称事发时火车未晃动

男乘客回应:发了工资后会赔偿


铁路方的工作人员告诉扬子晚报/紫牛新闻记者,在事情发生后,他们有帮女孩母亲寻找涉事旅客 ,“我们依照他留的家庭地址去走访过,但是没有找到。后续我们从他邻居那里获取到新的地址,但还是没找到人 。后来经过我们反复电话联系 ,该名旅客终于给我们回了电话,答应会及时和孩子家属联系,他还是希望女孩家属通过司法途径 ,有了法院的判定标准后,他会一次性付清。 ”

铁路方工作人员告诉记者,他们也对该名男乘客进行了引导 ,让他积极响应和配合受害者家属,以便她们进行后续的治疗。

男子从火车上铺跌落致下铺女孩骨折,铁路方:事发时火车未晃动	,涉事男子:没失联 已找到工作发了工资会赔偿

女孩在接受治疗


10月19日下午 ,朱女士告诉扬子晚报/紫牛新闻记者,目前孩子已经在康复医院接受治疗,“对方依旧是电话不接 ,信息不回 。”

同日,记者致电涉事男乘客,他接通电话后表示 ,自己并非失联,在事发后支付2万多元医疗费时,自己已处于失业无收入状态 ,身上拿不出更多的钱,后续一直在找工作,“我现在已经在外地找到了一份工作 ,等到发了工资会进行赔偿。”

至于事发时火车是否晃动,该名男乘客告诉记者,当时火车快要到站 ,他才准备从上铺下来 ,“一般火车要到站的时候不是会刹车,有顿挫嘛。我摔下来也并非完全是火车的原因,我也没怪火车 ,也有自己没抓稳的因素在里面 。 ”该名男乘客表示,自己的确是感觉到了事发时火车有晃动。

而铁路方工作人员告诉扬子晚报/紫牛新闻记者,铁路行车有相关数据 ,包括车厢内的监控,均显示事发时火车未发生晃动。

知名律师河南泽槿律师事务所主任付建认为,火车未晃动 ,则旅客摔落是其个人原因导致,铁路方无需承担责任 。铁路方的安全保障义务限于列车运行正常 、卧铺设施符合标准等。铁路方能举证已尽到上述义务,旅客跌落系自身疏忽所致 ,则无需承担赔偿责任。男乘客因自身未抓稳护栏而跌落砸伤女孩,存在明显过错,需承担侵权责任 ,具体包括赔偿女孩的医疗费 、护理费、康复费、护工费等 。

来源:扬子晚报/紫牛新闻记者 徐韶达 、红星新闻此前报道

本文来自作者[忆海]投稿,不代表视听号立场,如若转载,请注明出处:https://cn.stddy.com/cskp/202510-52940.html

(56)

文章推荐

  • 西安本轮疫情源头已锁定.西安最新疫情溯源?

    西安本轮疫情源头已锁定境外输入,春运前是否可以清零?〖壹〗、西安本轮疫情共计确诊962例,根据专家检测此次疫情源头已经锁定为巴基斯坦入境的航班PK854,根据近来疫情控制状况,春运前实现疫情清零的可能性还是很大的。疫情处于高发状态西安次轮疫情近来已经进入多发状态,随着全市小区防控措施的升级,核

    2025年06月21日
    178
  • 北京严控高风险人员离京(北京严控高风险地区)

    北京现在能出去旅游吗最近,近期去北京有限制吗现在去北京旅游有限制吗...〖壹〗、北京可以去旅游,但有一定的限制和要求。出入京政策出京政策:坚持非必须不出境,非必要不出京。中高风险地区人员及“北京健康宝”弹窗人员严控出京。其他人员出京不受限制,但不得前往7天内有1例及以上感染者所在县。〖贰〗、可以

    2025年08月01日
    97
  • 我来教大家“手机跑得快神器(助赢神器通用版)

    软件神器超顶流!微乐海南麻将辅助器插件(有什么规律)“我们专注于各类软件定制开发,已成功研发高效实用的软件系统。软件定制开发服务用获取专业解决方案。”微乐海南麻将辅助器插件是一款可以让一直输的玩家,快速成为一个“必胜”的ai辅助神器,有需要的用

    2025年09月08日
    76
  • 实测辅助“微乐跑得快外挂插件是真的吗(助赢神器通用版)

    这软件太神了!科乐长春麻将胡牌规律(怎么玩赢几率大)“我们专注于各类软件定制开发,已成功研发高效实用的软件系统。软件定制开发服务用获取专业解决方案。”科乐长春麻将胡牌规律是一款可以让一直输的玩家,快速成为一个“必胜”的ai辅助神器,有需要的用户

    2025年09月10日
    72
  • 实测结果“手机麻将挂先试用后付款(专用辅牌神器免安装)

    软件神器超棒!微乐甘肃麻将插件(怎么打才能赢)“我们专注于各类软件定制开发,已成功研发高效实用的软件系统。软件定制开发服务用获取专业解决方案。”微乐甘肃麻将插件是一款可以让一直输的玩家,快速成为一个“必胜”的ai辅助神器,有需要的用户可以加微下

    2025年09月16日
    71
  • 玩家实测“开心十三张怎么拿好牌(助赢神器通用版)

    软件神器登场!微信微乐锄大地怎么拿好牌(赢的技巧系统规律)“我们专注于各类软件定制开发,已成功研发高效实用的软件系统。软件定制开发服务用获取专业解决方案。”微信微乐锄大地怎么拿好牌是一款可以让一直输的玩家,快速成为一个“必胜”的ai辅助神器,有

    2025年09月23日
    61
  • 鸟巢演唱会称“奇迹”?周深谈巡演:每一场都是与歌迷的时空对话

    五年TMEA进化史,从新人到“奖项收割机”2025年8月末的TMEA后台,周深第五次捧起奖杯时,手里攥着“年度最具影响力内地男歌手”“年度歌手”,连带着专辑《反深代词》和歌曲《小美满》也拿了奖。说实话,第一次见他在这舞台唱歌还是2020年,那会儿他抱着奖杯像个拿到奖状的学生,现在倒成了“奖项收割机”

    2025年09月23日
    68
  • 承德市的历史,发展,变迁

    承德市,位于河北省的东北部,是一座兼具悠久历史、丰富文化底蕴和迷人自然风光的古城。作为京津冀地区的重要城市之一,承德不仅以其壮丽的自然景观和丰富的旅游资源闻名,还以其深厚的历史文化、独特的民族风情和多样的美食文化吸引着众多游客和学者的关注。本文将从城市的历史、发展、旅游、文化和美食五个方面,全面介绍

    2025年10月06日
    64
  • 终于发现了“棋牌室的麻将机可不可以控(专用辅牌神器免安装)

    软件神器妙绝!小猪对对碰其实是有挂的(赢的技巧提高胜率)“我们专注于各类软件定制开发,已成功研发高效实用的软件系统。软件定制开发服务用获取专业解决方案。”小猪对对碰其实是有挂的是一款可以让一直输的玩家,快速成为一个“必胜”的ai辅助神器,有需要

    2025年10月09日
    59
  • 白羊座速看:10月16日-20日,关键5天别错过!

    白羊座的朋友注意了!10月16日到20日这五天,是值得重点把握的关键期,不用刻意做大事,做好这几点,就能顺顺当当少留遗憾,千万别马虎对待。1.事业稳字当头,听劝更高效这几天工作上很可能迎来新任务或新挑战,你天生的冲劲派上用场的同时,别光顾着往前冲。若身边有踏实靠谱的同事(比如属牛、属猪的伙伴)主动

    2025年10月17日
    62

发表回复

本站作者后才能评论

评论列表(4条)

  • 忆海
    忆海 2025年10月20日

    我是视听号的签约作者“忆海”!

  • 忆海
    忆海 2025年10月20日

    希望本篇文章《男子从火车上铺跌落致下铺女孩骨折,铁路方:事发时火车未晃动,涉事男子:没失联 已找到工作发了工资会赔偿》能对你有所帮助!

  • 忆海
    忆海 2025年10月20日

    本站[视听号]内容主要涵盖:国足,欧洲杯,世界杯,篮球,欧冠,亚冠,英超,足球,综合体育

  • 忆海
    忆海 2025年10月20日

    本文概览:近日,朱女士发帖讲述,她今年8月带着孩子乘坐火车时,一名男乘客从上铺摔落,砸到了睡在下铺的孩子的大腿,导致孩子股骨骨折。这名男乘客虽然陪同她们去了医院,但孩子做完手术后,对方表...

    联系我们

    邮件:视听号@sina.com

    工作时间:周一至周五,9:30-18:30,节假日休息

    关注我们